Here for You & With You
From comprehensive examinations to the latest advancements in health treatments, we’re on your journey to success through performance and well-being.

Find Out More
Diagnostics
Nerve Blocks

Horses often show us signs that indicate an area of soreness which may be the cause of a lameness, however sometimes there are no obvious clinical signs. In these cases, nerve blocks can be very useful to isolate an area causing lameness. Nerve blocks involve placing a small volume of local anaesthetic over a nerve which numbs the pain that is coming from below this point.
Pathology

Our practice provides full services of Pathology by using an external Pathologist who treats our clinic with priority to enable us to obtain same day results for blood samples submitted.
Depending on the type and complexity of testing some samples may take longer before we are able to provide our clients with results.
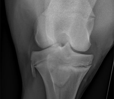
Radiology

Bay Equine use the latest digital x-ray machines to produce the highest quality images. Images are able to be viewed at the horse’s side to allow an immediate treatment plan to be instituted. The digital images are stored on a server, so they are accessible anywhere, any time. This makes it possible to email radiographs to other veterinarians around the world or directly to clients upon request.
Digital radiographs are often required for detailed prepurchase examinations to assess your purchase for conditions such as osteoarthritis, osteochondral (chips) bone fragments, osteochondritis dissecans (OCD’s) and bone cysts.
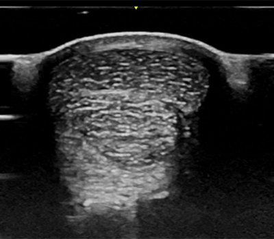
Ultrasound

Bay Equine veterinarians utilise the latest ultrasound technology to image the musculoskeletal system, thorax and abdomen of your horse. This allows helps us to get to the cause of your horses problems quickly.
Endoscopy

Bay Equine veterinarians are all equipped with portable endoscopes to enable immediate assessment of your horse’s throat to assess the function of the larynx and pharynx, the epiglottis and the rostral portion of the trachea for abnormalities.
We are also equipped with a video endoscope to record your horses throat where necessary where it be for a sales repository study or a horse requiring a video for insurance purposes.
Dynamic Endoscopy

Dynamic obstructions of the upper airway often only occur during high-speed and/or intense exercise meaning resting upper airway respiratory endoscopes often under diagnose or fail to diagnose conditions. DRE is suited to horses with abnormal noise production during exercise, exercise intolerance, and poor performance.
Gastroscopy

We believe gastric ulceration can be a significant contributer to poor performance. As such Bay Equine is equipped with a 3 metre video endoscope that allows our team to assess your horses stomach from the inside and diagnoses things such as gastric ulcers, other inflammatory conditions of the squamous and glandular stomach and physical blockages such as enteroliths.
Our veterinarians are trained in the most up to date treatments and management protocols for gastric ulcers where we can use the treatment that is most effective for your horse.
The examinations are recorded so the video can be viewed at a later date for comparisons or sent to specialists for further assessment
ECG Monitoring

An ECG is a very useful tool in the diagnosis of heart disease as well as monitoring the heart rate and rhythm of critically ill patients. Our veterinarians are trained to use the equipment to obtain a reading of the horse’s heart rhythm. Bay Equine regularly consults with Equine Medicine Specialists to get the best outcome for your horse.


Treatments
Platelet Rich
Plasma Injections
Platelet Rich Plasma (PRP) is a treatment providing positive results and practical outcomes in both human and equine applications. Platelets are best known for their role in initiating blood clotting however they have also been found to be a rich source in promoting healing. PRP has many growth factors with varying actions. Some of these growth factors accelerate tissue and wound healing and they promote healing via a regenerative process rather than a reparative process (scar tissue).

Shockwave
Therapy
Shock wave therapy (also referred to as ESWT – extracorporeal shock wave therapy) is an effective treatment available for numerous conditions including tendon injuries, sesamoiditis, non-union fractures, proximal suspensory ligament desmitis (in both the forelimb and the hindlimb), suspensory branch attachment issues, back pain – including kissing spines and muscle damage.

IRAP II
(ARTHREX)
Defects in articular cartilage can induce osteoarthritis by causing molecular changes in the synovial fluid. The general inflammatory cytokine interleukin-1 (IL-1) plays a key role in accelerating tissue destruction and the repair mechanisms.
In a healthy joint, IL-1 and interleukin-1 receptor antagonist (IL-1Ra) are in balanced concentrations.
In cases of osteoarthritis, there is not sufficient IL-1Ra produced to block the destructive effects of the increased IL-1. The result is inflammation, joint pain, and eventually cartilage destruction. In the IRAP II system, monocytes (a type of white blood cell) bind to the glass beads. The cells are then stimulated to produce regenerative and anti-inflammatory proteins without the addition of drugs. This process takes place over an incubation period of 24 hours.
IRAP II is used to treat mild to moderate osteoarthritis in animals.

“
We believe every horse has the potential to achieve success and, with the right support, they will perform to their potential”.
